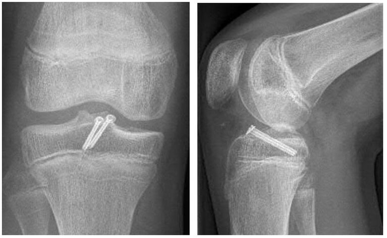
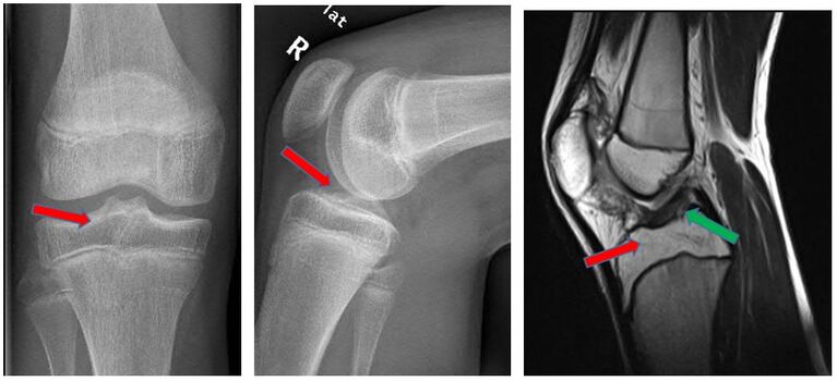
Eine Sonderform der Kreuzbandverletzung ist der knöcherne Ausriss des Bandes. Dabei kommt es bei der Verletzung nicht zu einer Ruptur des Bandes, sonders das Kreuzband reist mit einem Knochenstück ab. Meist ist dieser Ausriss dabei am Schienbeinkopf lokalisiert. Besonders gefährdet sind Kinder und Jugendliche, da bei diesen der Knochen meist weicher als die Bandstruktur ist. Die Symptome und Beschwerden entsprechen einer Kreuzbandruptur. Oft können die Verletzten das Bein nicht richtig strecken, da das Knochenstück einklemmt. Diese Verletzung ist im Gegensatz zu einer Kreuzbandruptur oft auch im normalen Röntgenbild des Kniegelenkes zu sehen. Zur Sicherung der Diagnose und um nach eventuellen Begleitverletzungen zu suchen, erfolgt oft ein MRT und manchmal auch eine Computertomographie (CT).